FULL-MOUTH RESTORATION WITH EMAX VENEERS
Have you ever considered enhancing your smile with Emax Veneers? Is this truly a good option? How will they look? Will they appear natural like real teeth?
Let’s explore this treatment method with Dr. Bao Dental Clinic through a real clinical case.
Our patient: Mr. Roman, 43 years old, from Russia.
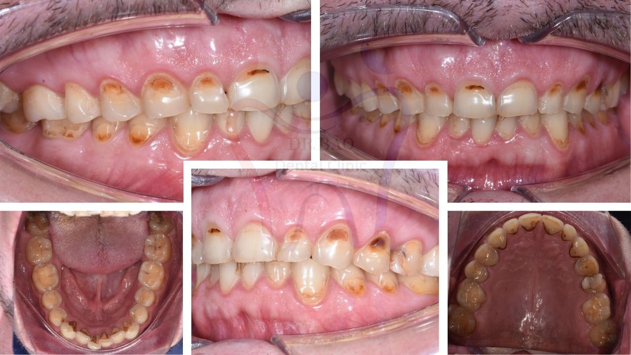
After a clinical examination, we found that he was experiencing several issues:
-
Flattened & shortened teeth => Poor aesthetics.
-
Increased tooth sensitivity to hot, cold and sweet.
-
Visible dentin => yellowish layer is exposed => unaesthetic and sensitive teeth. We think he has the bruxism during the night.
After a thorough examination and consultation, the doctors proposed a full-mouth rehabilitation plan. However, this does not mean that all teeth must be covered with crowns. At our clinic, we always prioritize minimally invasive treatments to preserve ass much natural tooth structure as possible. The detail treatment plan included:
- Emax Veneer for 6 upper front teeth.
- ¾ Veneer for premolars teeth
- Overlay Shofu CAD/CAM for molar teeth
- 6 direct composite veneers for the lower incisors.

The first step to completing this plan was a Mock-up (Temporary restoration). The purpose of this step is to evalute both aethestics and function.

After the temperory phase, the dentist proceeded with the final veneer placment on the natural teeth. Let’s follow the journey through the photos below:

And here is the final result!

